|  | 
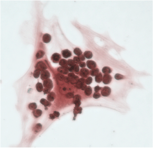
| Figure 1: A group of mouse leukemic T cells NOTCH1+ in a culture medium that provides a niche mimicking in vivo conditions. Leukemic cells are in the presence of IL-7 and FLT3, and have an intimate relationship with thymus stromal cells. Magnification: 400X. (Caceres-Cortes JR and Hoang T; IRICMontreal, Canada). |