|  | 
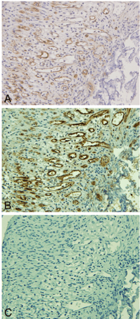
| Figure 2: NKCC1 and AQ1 in chronic subdural hematomas. (A) NKCC1 immunoreactivity is extensive in capillaries and sinusoids infiltrating the chronic subdural hematoma. (B) AQ1 immunoreactivity in capillaries of the same subdural hematoma as in (A). (C) Control (Hematoxylin counterstain and diaminobenzidine chromagen; original magnification 400x). |