|  | 
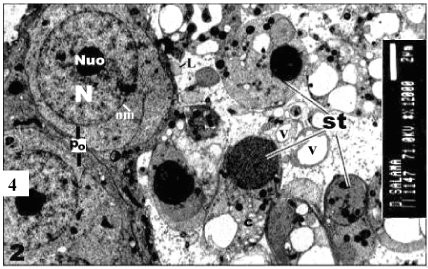
| Figure 4: Magnified part of the hermaphrodite gland of non-treated (control) of the slug L. maximus to show primary oocytes and stages of developing spermatids. (Po=primary oocytes, N=nucleus, nm=nuclear envelope,Nuo=nucleolus, v=vacuole, L=Lysosome, St=stages of developing spermatids, X=12000). |