![]() |
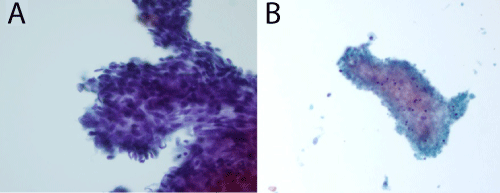
| Figure 3: The aspirate sample contains relatively large, thick, syncytial aggregates of squamous cells with nuclear pleomorphism. This pattern is characteristic of squamous carcinoma (Papanicolaou stain, intermediate magnification) (A). The aspirate sample has abundant necrosis (B). |