|  | 
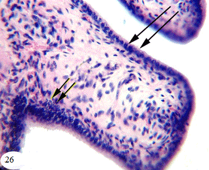
| Figure 26: High magnification to the squares area illustrated in (Figure 25b) showing the simple linning epithelium of the duct "long arrow, and the conversion of the linning epithelium to stratified linning epithelium (short arrow). Stain: H&E Obj. x40: Oc.x10 |