![]() |
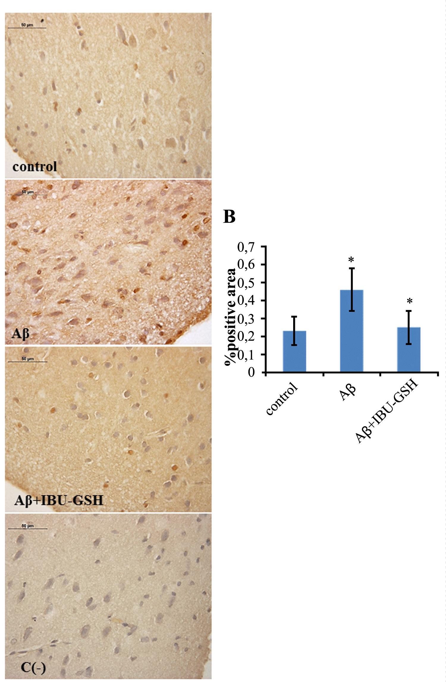
| Figure 5: A: Immunohistochemical detection of iNOS in rat cerebral cortex. Scale bar size 50 μm. Control: untreated sample; Aβ: Aβ-injected cerebral cortex; Aβ+IBU-GSH: Aβ-injected cerebral cortex+IBU-GSH conjugate; C (-): negative control; B: Graphical representation of iNOS positive cells percentages. Values are means ± SD; * Aβ+IBU-GSH conjugate vs Aβ: p < 0.05 |