![]() |
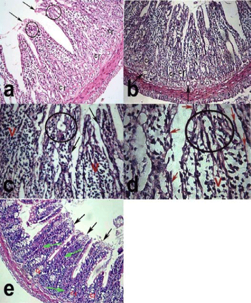
| Figure 5: A photomicrograph of a cross section in the jejunum of adult male albino rat of group III (short term MTX treated group) showing: a) fusion of villi (circle), shedding of the surface epithelium (arrows) and distortion of the crypts (Cr). (H & E X100) b) cystic dilatation of the crypts (Cr) at the bases of the villi and dilatation of the blood vessels (arrows). (H&E X100). c) flattening of the villous surface epithelium (arrows) with loss of villus architecture (V) and fusion of villi (circle) especially near the apices. (H &E X200.) d) flattened and shedded cells of the villous surface epithelium (arrows) with the loss of the villus architecture (V) and fusion of the villi (circle). (H &E X400) e) showing distortion of the crypts (Cr) with blunting of the apices of the villi (black arrows) and intravillous hemorrhage (green arrows). (H & E X 100). |