![]() |
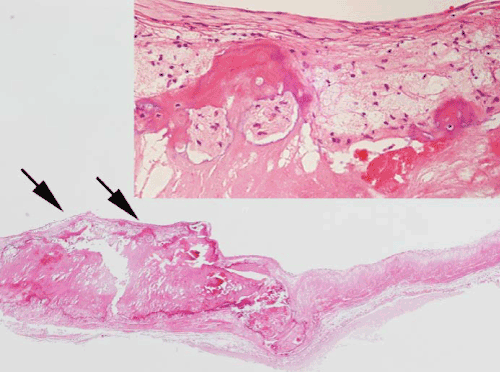
| Figure 2: Vessel-independent heterotopic ossification (arrow) in mildly to moderately calcified non-dysfunctional postmortem aortic valve. A high power view (inset) showing rim-like bones accompanied by aggregated foamy cells but without neovascularization. |