![]() |
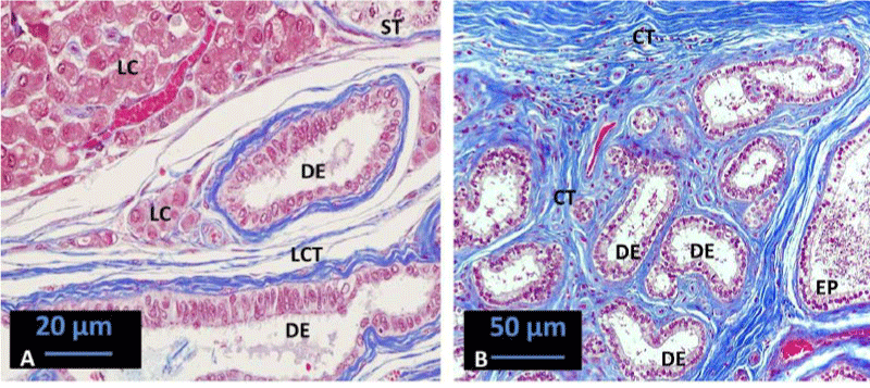
| Figure 6: (A) Outer part of the kangaroo testis close to the tunica albuginea showing loose connective tissue (LCT), Efferente ductules (DE), Leydig cells (LC), notice the change of the epithelium from high to low cuboidal. Trichrome stain, line scale=20 μm. (B) Ductuli efferentes (DE) embedded inside connective tissue (CT) of the tunica albuginea before they open into the epididymis (EP). Trichrome stain, Line scale=50 μm. |