|  | 
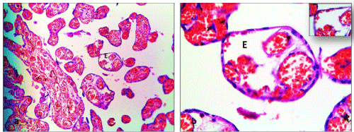
| Figure 3: Photomicrographs of diabetic group of placenta showing; a) A fullterm placenta includes sections of many villus stems (V), containing edema (E), (H&E 10X . b) At higher magnification, the villus connective tissue denoting edema (E), (H&E 40X).Inset |