|  | 
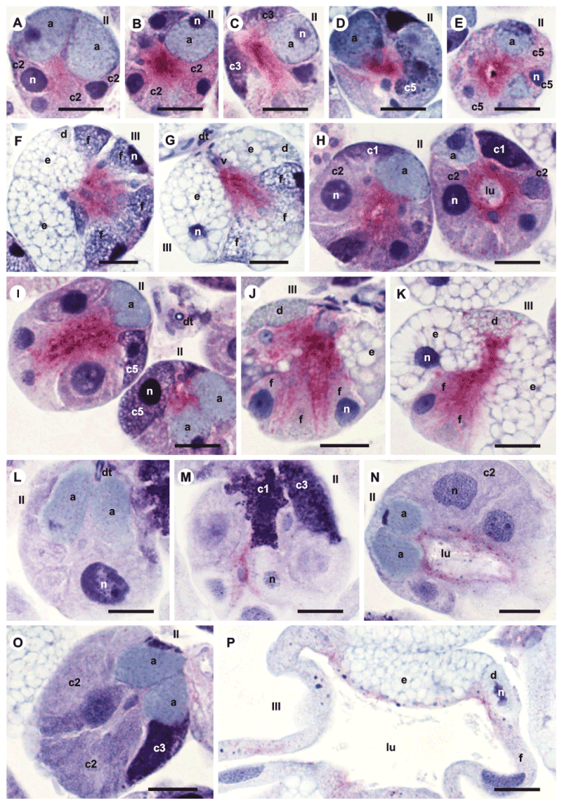
| A-I: 2 days of feeding, J-O: 4 days of feeding, P-S: 6 days of feeding. II= acinus type II; III= acinus type III; n= nucleus; lu= acinus lumen; dt= ducto; a = a cell; c1= c1 cell; c2= c2 cell; c3= c3 cell; c4= c4 cell; c5= c5 cell; d= d cell; e= e cell, f= f cell. Bars: 25µm | 
| Figure 4:Histological sections of salivary glands of Rhipicephalus sanguineus females used as test group TG (SGE6). Acid phosphatase reaction and counterstained with hematoxylin. |