![]() |
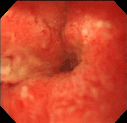
| A 3 cm-long circumferential obstruction was observed from the duodenal bulb to the second portion of the duodenum. These findings suggested that the lesion was not originated from the duodenal epithelia, and might be a metastatic tumor. |
| Figure 2: Endoscopic images of the duodenal metastasis from supraglottic laryngeal cancer. |