photomicrograph
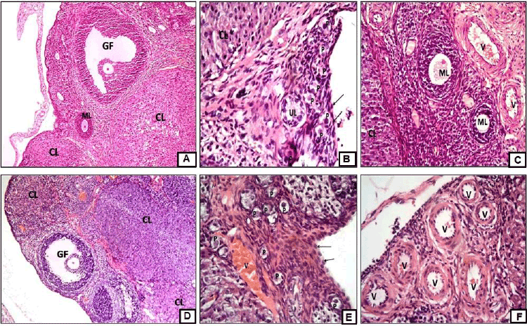
Figure 3: (A) A photomicrograph of an ovarian section of adult female albino rat of subgroup IIIa (1 week after ADSCs administration) showing a multilaminar primary follicle (ML), a mature graffian follicle (GF) as well as corpora lutea (CL) (H and E Χ100); (B) A photomicrograph of an ovarian section of adult female albino rat of subgroup IIIa (1 week after ADSCs administration) showing that the germinal epithelium appears formed of a single layer of cuboidal cells (arrows). Several primordial follicles (P), a unilaminar primary follicle (UL) and a part of a corpus luteum (CL) are evident (H and E Χ400); (C) A photomicrograph of an ovarian section of adult female albino rat of subgroup IIIa (1 week after ADSCs administration) showing multilaminar primary follicles (ML) and a part of a corpus luteum (CL) in addition to dilatation and congestion of cortical blood vessels (V) (H and E Χ400); (D) A photomicrograph of an ovarian section of adult female albino rat of subgroup IIIb (4 weeks after ADSCs administration) showing a mature graffian follicle (GF) and several corpora lutea (CL) (H& E Χ100); (E) A photomicrograph of an ovarian section of adult female albino rat of subgroup IIIb (4 weeks after ADSCs administration) showing that the germinal epithelium appears formed of a single layer of cuboidal cells (arrows). The presence of many primordial follicles (P) is noted, in addition to dilatation and congestion of cortical blood vessels (V) (H& E Χ400); (F) A photomicrograph of an ovarian section of adult female albino rat of subgroup IIIb (4 weeks after ADSCs administration) showing abundance of cortical blood vessels (V) which appear dilated and some of them are congested (H and E Χ400).