|  | 
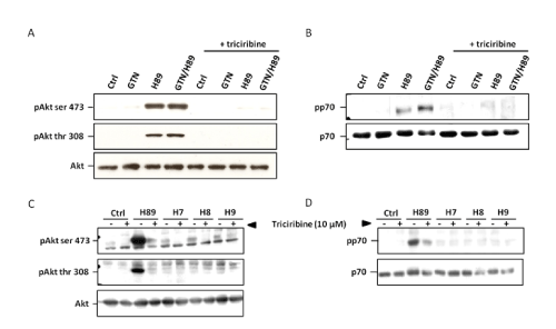
| Figure 3: Triciribine abrogates the specific activation of Akt/mTOR signaling pathway by H89. SW480 cells (3 × 105/mL) were pretreated for 1 h 30 with triciribine (10 μM) before exposure to GTN or/and H89 (10 μM each) for 24 hours. (A) Western blot analysis of Akt, pAkt ser 473 and pAkt thr 308 expression, (B) Western blot analysis of p70 and pp70. (1 representative of 3 independent experiments). (C and D) SW480 cells (3 × 105/mL) were pretreated for 1 h 30 with triciribine (10 μM) before exposure to H89, H7, H8 and H9 (10 μM each) for 24 hours. Total protein was isolated and subjected to western blot analysis for (C) Akt, pAkt ser 473, pAkt thr 308 expression (longer exposure of films has been required to detect slight expression of pAkt), (D) Western blot analysis of p70 and pp70 expression (1 representative of 3 independent experiments). |