|  | 
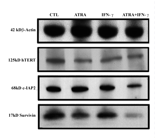
| Figure 3:Western blotting for examination of inhibition of survival signals. Treatments (7 days): CTL, ATRA (1.5 µg/kg/day), IFN-γ (5000 units/kg/day), and ATRA (1.5 µg/kg/day) plus 4 h later IFN-γ (5000 units/kg/day). Representative Western blots show levels of β-actin, hTERT, c-IAP2 and survivin levels, indicating that ATRA plus IFN-γ combination therapy down regulated these anti-apoptotic proteins to facilitate apoptosis in T98G xenograft. |