|  | 
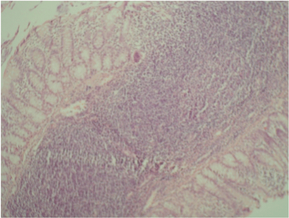
| Figure 4: G2 Intestinal Anastomosis: Mucosal lymphocytic infiltration and fibroblastic proliferation in the periserosal fatty tissue (Haematoxylin and eosin dyes, x10). Fat necrosis, mucositis and serositis are absent, perfect mucosal healing was observed. |