![]() |
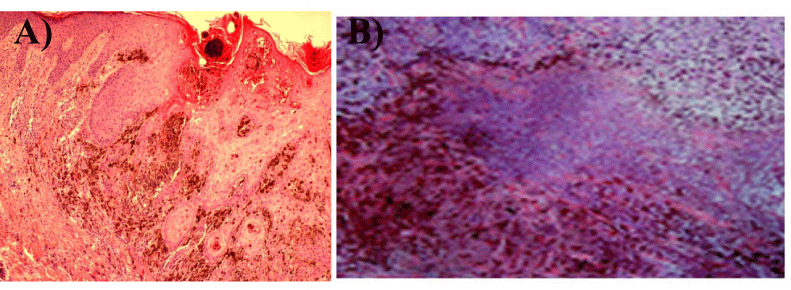
| Figure 2: The histopathology of the primary site of the cutaneous melanoma of patient # 8: (A) Prior to intralesional biotherapy from the biopsy site, and (B) One week after intralesional therapy from the resected tissue of the same patient. Note the massive tumor necrosis and the abundant pigmented histiocytes. (H&E X400). |