![]() |
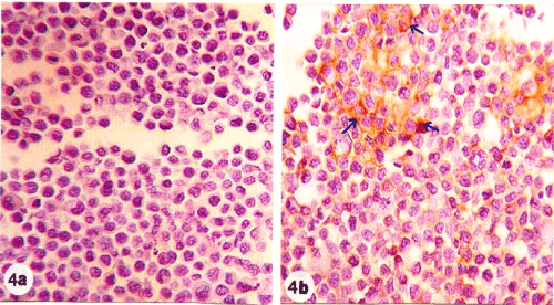
| Figure 4: Photomicrographs of immunohistochemically stained EAC-sections, showing the higher amount of p53 (arrow; brownish yellow color) in the cytoplasm and nuclei of EAC-cells in mice treated with ulvan polysaccharide (figure 4b; x100) than in control mice (figure 4a; x100). |