![]() |
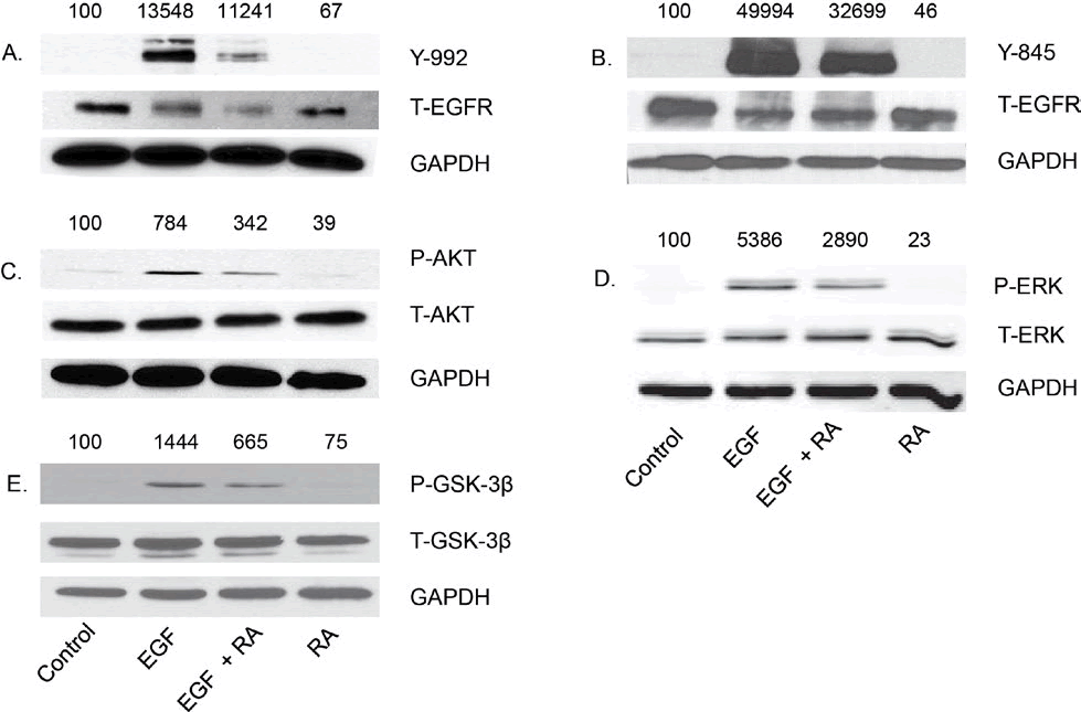
| Figure 5: Effect of RA on EGF-induced EGFR activation and its downstream pathway. Cells were pretreated with RA for 30 minutes and then stimulated with EGF for 5 minutes. Phosphorylation of EGFR at tyrosine 992 (A) and tyrosine 845 (B) and its downstream effectors, Akt (C), GSK-3βser9 (D) and ERK (E), were analyzed by western blotting. The membrane was subsequently blotted with total Akt, GSK-3β, ERK and GAPDH antibodies as loading controls. |