|  | 
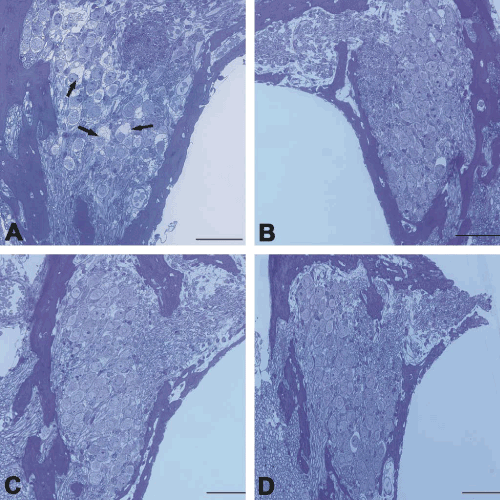
| Figure 6: Representative cross-sectional views of SGNs . Consecutive Cis injection caused myelin sheath detachment in some SGNs; cell density did not decrease (a). Arrows show affected SGNs. No SGN damage was seen in any of the coadministration subgroups (b, c, d: Cis at 0.1, 0.2, and 2 mg/kg, respectively, observed 7 days after drug administration). Scale bar: 50 μm. |