![]() |
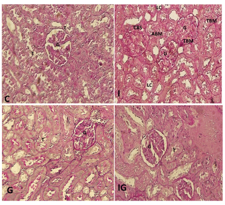
| Figure 4: PAS kidney-stained sections of young rats: controls (C) and treated for a period of 45 days by FeCl2 (group I), by garlic (group G) or by both FeCl2 and garlic (group IG). TBM: thickened basement membranes, ABM: attenuation basement membranes, LC: Large cavities, CBS: closed bowman space, (Gx400). |