![]() |
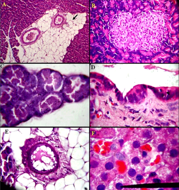
| Figure 8: A photomicrograph of the effect of CF-17 of Loranthus micranthus extract on rat pancreatic tissue, A) Normal flow of connective tissue and proper blood vessels with exocrine part of pancreas, B) Prominent Islet’s cells in Islets of Langerhans, C) Normal acini with proper adherence, D) Prominent exocrine pancreatic wall, E) Normal pancreatic duct having proper connective tissue and F) Distinguishable Islet’s cells along with blood capillaries and RBC cells (at 100x oil immersion). |