|  | 
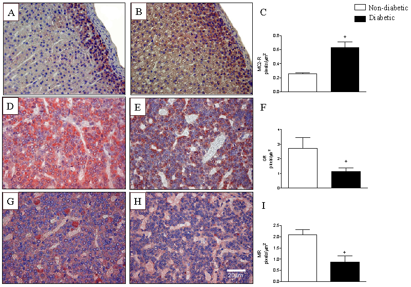
| Figure 1: Diabetic rats present increased levels of MC2R in adrenal glands and reduced expression of corticosteroid receptors in pituitary. Type 1 diabetes was induced by a single i.v. injection of alloxan (40 mg/kg) and analyses were performed after 21 days. The receptors expression was evaluated by immunohistochemistry. We observed an increase in MC2R expression in the adrenals of diabetic (B) compared with non-diabetic animals (A). Besides, both the expression of GR and MR were found down-regulated under diabetic conditions (E and H, respectively) in anterior pituitary compared with control animals (D and G, respectively).Quantitative evaluations of MC2R, GR and MR labeling are seen in panels C, F and I, respectively.Positive reactions are determined by the red color. Data are expressed as mean ± S.E.M. of at least 3 animals, +p<0.05 as compared to non-diabetic animals. |