![]() |
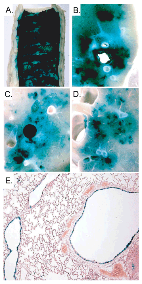
| Figure 7: Pulmonary transduction in rabbits following intratracheal aerosolization of L-α lysophosphatidylcholine and HDAd-K18LacZ. X-gal stained (A) trachea, (B) right upper lobe, (C) left lower lobe, (D) right lower lobe and (E) bronchus and bronchioles. Blue areas represent HDAd transduced cells. |