![]() |
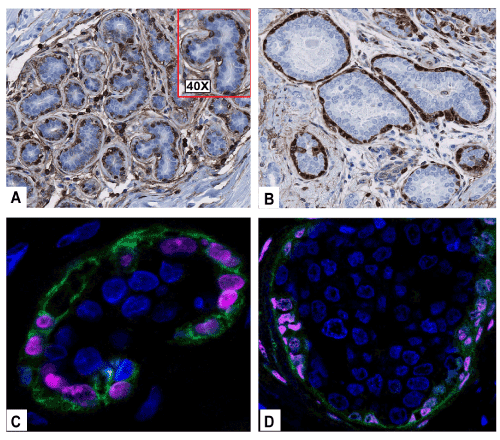
| Figure 3: Expression of ANXA1 in normal breast tissue and in-situ carcinoma. A. Normal lobules displaying ANXA1 expression in myoepithelial cells and in a few stromal cells while luminal cells lack ANXA1 expression. B. DCIS shows a similar distribution of ANXA1 as that present in normal lobules. C. Co-localization of ANXA1 (cytoplasmic) and p63 (nuclear) in myoepithelial cells lining normal breast ducts using direct immunofluorescence and confocal microscopy. D. Colocalization of ANXA1 and p63 in myoepithelial cells of DCIS. Magnification: 20X (A & B), 40X inset in Figure A, 63X (C & D). |