![]() |
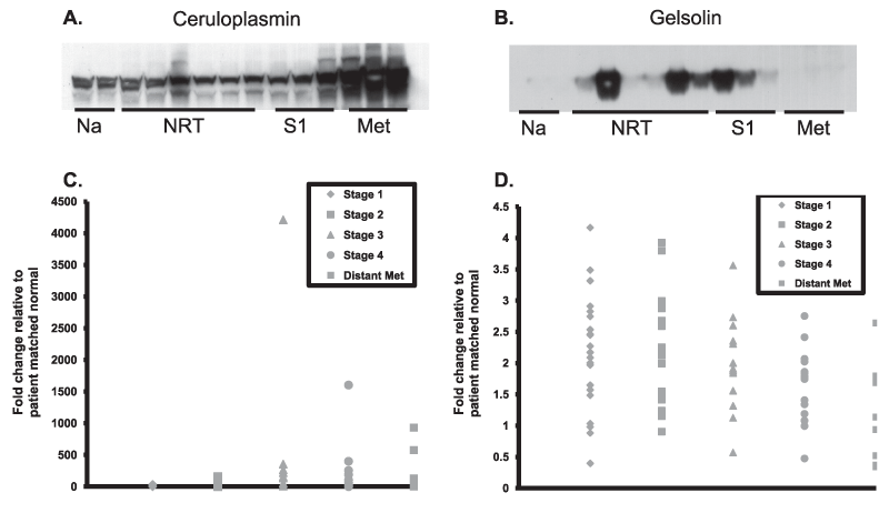
| Figure 2: Verification of gelsolin and ceruloplasmin expression levels in the serum of humanized mouse models. As identified in Table 1, protein levels of human gelsolin were highly expressed in serum from mice bearing distant site, normal kidney tissue while human ceruloplasmin expression was highest in the serum of metastatic tumor bearing mice. Serum samples were prepared for western blot analysis and 30µg of fibrin and cell cleared serum loaded per lane. Human specific antibodies confirmed that ceruloplasmin was highly expressed in the serum of metastatic bearing mice (Figure 2a) and gelsolin expression was lost in the same group (Figure 2b). These observations held true when compared to stage 2 and 4 tumors serum samples (data not shown). Na=Naïve; NRT=Normal renal tissue; S1=Stage 1 ccRCC tumor tissue; Met=Metastatic site tissue. Analysis of relative mRNA expression levels for ceruloplasmin (Figure 2c) and gelsolin (Figure 2d) in patient matched tumor tissues. |