|  | 
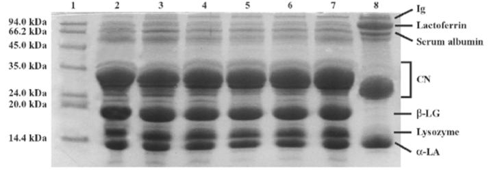
| Figure 1: Sodium dodecyl sulfate-PAGE of jenny and human milk proteins. Lane 1 is protein marker; lanes 2, 3, 4, 5, 6, and 7 are jenny milk samples for 15, 30, 60, 90, 120, and 150 days postpartum, respectively; lane 8 is a human milk sample for 60 days postpartum. Reasonable levels of casein, ß-lactoglobulin, lysozyme and α-lactalbumin, and lower levels of immunoglobulins, lactoferrin and serum albumin characterize jenny milk vs. human milk (3,44,52). The SDS-PAGE was under reducing conditions (3), using a Mini-Protean 3 gel electrophoresis apparatus with a 4% acrylamide stacking gel and a 16% separating gel. A mark protein ladder, with proteins of 14.4 to 94 kDa, was used as a molecular weight standard. A human milk sample (at d 60 postpartum) was obtained from a healthy donor. Current was applied at a constant voltage of 80 V until samples entered the separating gel, and voltage was increased to 120 V. Gels were stained with 0.1% Coomassie Brilliant Blue R-250 in 10% acetic acid and 40% methanol, and destained overnight in 10% acetic acid and 10% methanol with 2 buffer changes (3,89). |