![]() |
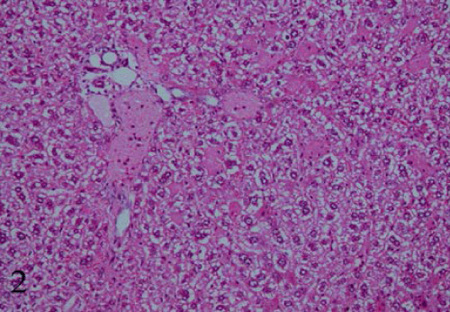
| Figure 2: A section in the liver drenched Commercial pear drink at dose (0.8 mg/kg b.w./day) for 3week showing vacuolar degeneration and hepatocellular necrosis associated with edematous which surrounded by aggregation of inflammatory cells, proliferation and dilation of bile duct, signs of fibrosis could be seen (Hx&E x200). |