![]() |
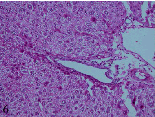
| Figure 6: A section of liver drenched strawberry drink at dose (0.8 mg/kg b.w./day) for 3week showing marked dilatation in portal tract, proliferation in the bile duct epithelial cells.Hepatocytes revealed vacuolar degeneration and peripheral chromatin clumping (Hx &E x200). |