![]() |
||
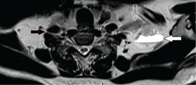
| Figure 6: A 68-year-old male with intraneural synovial sarcoma of BP. Axial T2-weighted MR image shows a mass arising from the left C7 nerve root (open arrow) with central fluid-fluid level (solid arrow). Note the normal right C7 spinal root (black arrow) in between the anterior and middle scalene muscles. | ||