![]() |
||
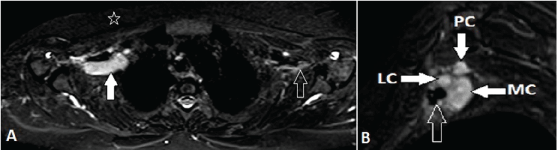
| Figure 7: A 57-year-old female, known case of postoperative and post radiotherapy carcinoma right breast with isolated intraneural metastasis. A, Axial fatsuppressed T2-weighted MR image shows isolated thickening and abnormal high signal of cords of the BP (white arrow) on right side. Note the normal left cords of plexus (open arrow). No residual or recurrent soft tissue in the post-operative bed (star). B, oblique sagittal fat-suppressed T2-weighted MR image better demonstrates the exact thickening and abnormal high signal of the cords of the brachial plexus (white arrows) in close proximity to the axillary vessels (open arrow). | ||