|  | ||
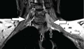
| Figure 17: A 65-year-old female with left superior sulcus metastatic breast carcinoma with diffuse BP involvement. Coronal post contrast T1-weighted MR image shows infiltrative enhancing soft tissue along the BP (solid arrows) bilaterally, left > right. On the left side, this enhancing soft tissue extending from left lung apex (open arrows) to BP. | ||