![]() |
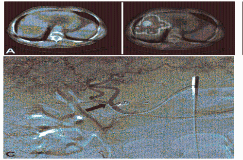
| Figure 1: A 64 year-old female with metastatic carcinoid tumor was treated with Y-90 microsphere therapy for liver metastases. (a) SPECT-CT images of the abdomen of Tc-99m MAA hepatic perfusion imaging study demonstrated distribution of radiotracer in the right hepatic lobe. (b) SPECT-CT images of the post-therapy Y-90 imaging study demonstrated distribution of the radiotracer in the left and right hepatic lobes. The differences in tracer distribution involved liver segments II, III and IV. (c) In the baseline angiogram the catheter tip (thick arrow) was positioned in the proper hepatic artery (PHA) near the bifurcation of right (RHA) and left hepatic arteries (LHA). (d) In the 2nd angiogram for Y-90 microsphere infusion, the catheter tip (thick arrow) was positioned more proximally as compared to the baseline angiogram (dashed arrow). |