|  | 
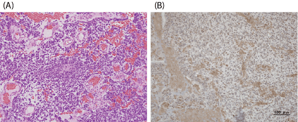
| Figure 3: Pathological findings of glioblastoma. (A) Pathological findings on the tumor removed in 2005. H&E staining demonstrated necrosis, mitosis, microvasucular proliferation and palisading figures. The histological diagnosis was glioblastoma (× 100). (B) Immunohistochemical staining of cells for MGMT shows strong immunoreactivity (×100). |