|  | 
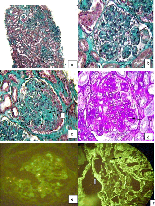
| Figure 2: Renal biopsy of patient # 2. (a), (b), (c), (d), (e), (f) 
      - Optical microscopy. (a) Masson trichrome x 200. (b) Nodular glomerulosclerosis (c) Nodular glomerulosclerosis (black arrow) and increasing fiber-cell (white arrow). Masson trichrome x 400. (d) PAS-positive nodule. NOT x 400. - Immunofluorescence: (e) Absence of λ chain deposits (f) deposits κ chains in the glomerulus (black arrow) and tubular basement membranes (white arrow). |