![]()  | 
  
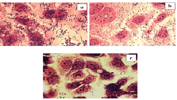
| Figure 1: Adherence patterns on Caco-2 cells identified in Streptococcus sp. strains isolated from pozol; a) Like agregative adherence pattern with chain formation of 25245 strain; b) Like diffuse adherence of A12203 strain; c) Like localized adherence on HT29 cells of 15414 strain. Preparations were Giemsa stained and observed under light microscopy 100X. |