![]() |
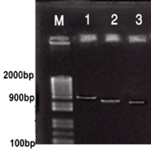
| Figure 3: Electrophoretic mobility of TBSV Egh purified PCR products amplified from cDNA using specific synthetic oligonucleotides primers. Approximately 5 μl of each TBSV Egh genes was run through 1% agarose gel in 1xTBE buffer stained with ethidium bromide and photographed. Lane M: Fermentase Molecular weight standard (100bp-2000bp) DNA ladder, Lane1: P22 gene, Lane2: P33 gene, Lane3: CP gene DNAs. |