![]() |
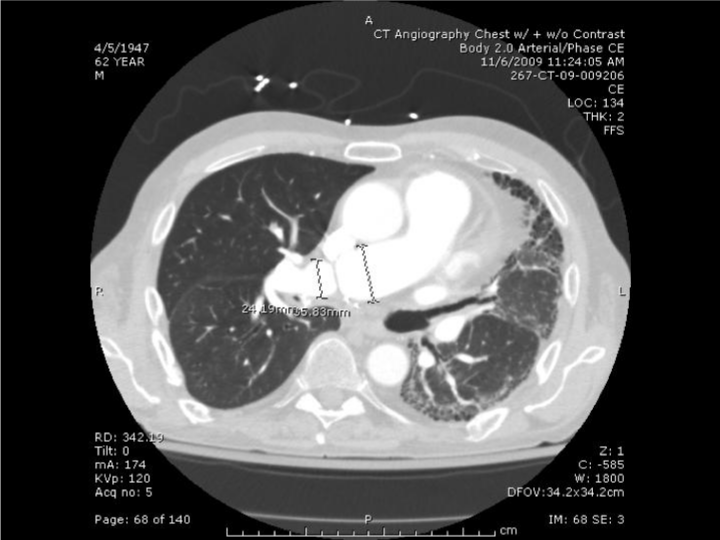
| Figure 5: 62 year old male 3 months following a right single lung transplant for IPF developed dyspnea and hypoxemia. CT angiogram of the chest found focal web-like or shelf-like stenosis in the right pulmonary artery at the level of the anastomosis. The pre-stenotic segment measured 3.1 x 2.9 cm. At the level of stenosis the lumen narrowed to 1.1 x 1.0 cm. Distal to the stenosis, the artery measured 2.6 x 2.2 cm |