![]() |
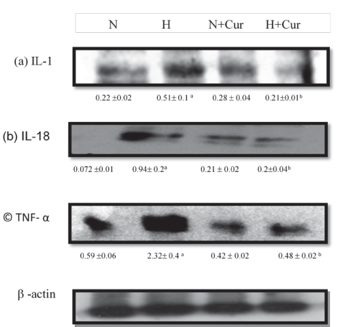
| Figure 7: Western blot analysis showing the effect of curcumin on the expression of pro-inflammatory cytokines (a) IL-1 (b) IL-18 and (c) TNF-α in the lungs of rats exposed to hypobaric hypoxia at 7620 m for 6 h. The enhanced levels of these pro-inflammatory cytokines under hypoxia were significantly down regulated by curcumin treatment indicating the potent anti-inflamatory activity of curcumin under hypobaric hypoxia conditions. The densitometry analyses were represented below their respective western blot analysis. Values are mean ± SD (n=6). aP < 0.001 compared with Normoxia (0 h) group. bP < 0.001 compared with hypoxia (6 h) group. N=Normoxia, H=Hypoxia, Cur=Curcumin. |