![]() |
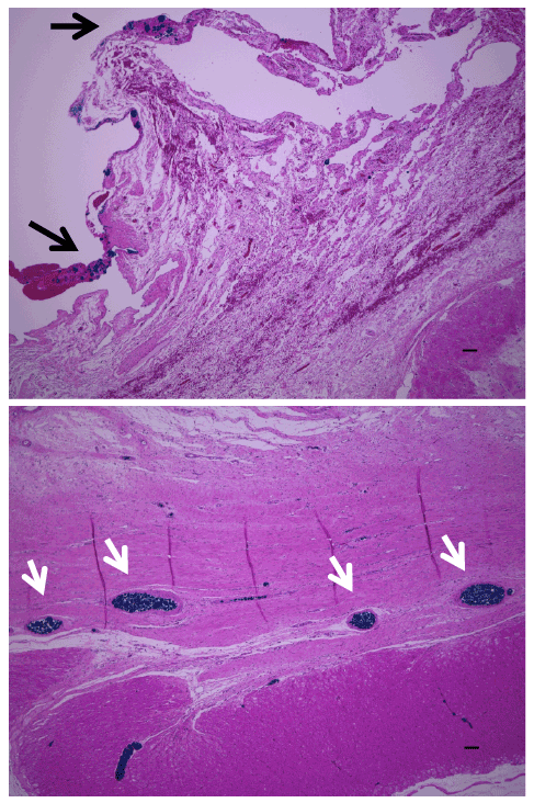
| Figure 6: Phthalocyanine blue was infused into the coronary artery and vascular formation was examined in the engineered myocardial tissues. Blood vessels within the cell sheet construct stained blue within the host coronary vasculature (white arrow) and the implanted cell sheet construct (black arrow). |