![]() |
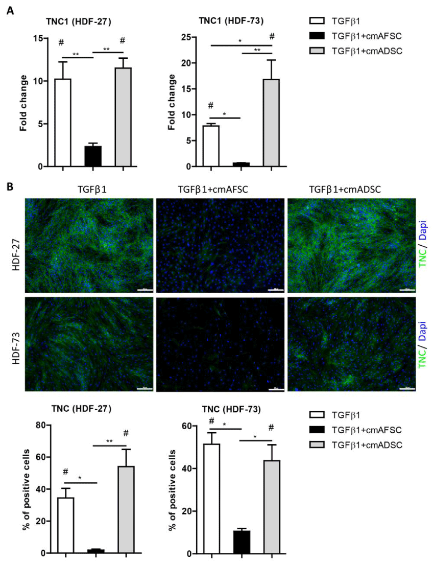
| Figure 5: Effects of cmAFSCs and cmADSCs on TGFβ1-induced synthesis of tenascin C in HDF-27 and HDF-73. Fibroblasts were treated with or without TGFβ1 and in combination with either CM of AFSCs or ADSCs for 48 h. (A) mRNA levels of TNC1 as measured with qRT-PCR and expressed as fold-change compared to untreated control (cells cultured in plain medium without TGFβ1). (B) Representative immunofluorescence stainings and quantification of the % of cells positive for TNC in HDF-27 (upper panel) and HDF-73 (lower panel). White scale bar represents 200 μm. The sign # represents statistically significance towards the untreated control. |