![]() |
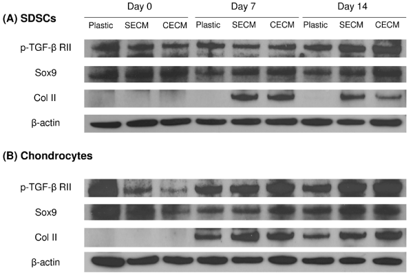
| Figure 6: Western blot was used to evaluate protein level of chondrogenic markers (Sox9 and collagen II) and phospho-TGF-β RII (Tyr 424) in the 14- day chondrogenically induced pellets from expanded passage 6 SDSCs and chondrocytes. β-actin was used as an internal control for protein loading. |