|  | 
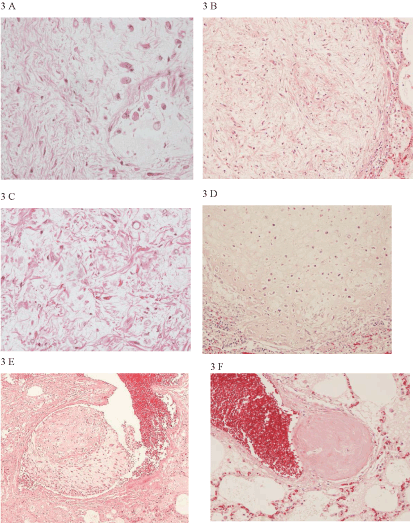
| Figure 3: Lung metastases from the dog in Figure 2 (No. 117) showed different morphology in different metastases. Spindle cells in a loose matrix with central round chondrocyte-like cells were seen (arrow), (A), (objective x 40). Cartilage formed another metastasis (B), (objective x 20). Intravascular lung metastasis with presence of bone matrix was also present (C), (objective x 10). Spindle cells formed a third metastasis (D), (objective x 20) and central chondrocytelike cells were seen in this metastasis as well (E), (objective x 40). A small 18 metastasis composed by dense connective tissue or osteoid (F), (objective x 20). Light micrographs with haematoxylin and eosin (HE) staining. |