![]() |
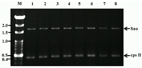
| Figure 1: Detection of Sao and cps II genes in bacteremia samples by multiplex PCR. M: 100 bp DNA Ladder Lane 1-6: Control group, one and two days after challenge; Lane 7: Vaccinated group, two days after challengeLane 8: S. suis serotype 1 as the positive control. |