![]() |
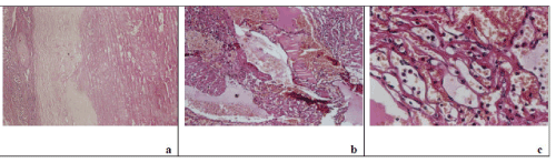
| Figure 2: a-c) Hematoxylen-Eosine staining. (a) Vascular proliferation (right) lined by a fibrous capsule in renal parenchyma (left) (x 40). (b) Cavernous structures filled with erythrocytes (x100). (c) Central vascular networks lined by endothelial cells without cellular atypia or mitosis (x400). |