|  | 
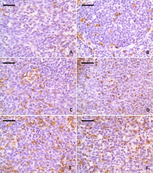
| Figure 2: The spleens are stained for Bax protein at 42 days of age. There are several positive splenocytes (brown-stain) in control group (A). The positive splenocytes is slightly increased in 5 mg/kg group (B) and markedly increased in 15 mg/kg, 30 mg/kg, 45 mg/kg and 60 mg/kg groups (C, D, E, F). SABC. Bar=20 μm. |