![]() |
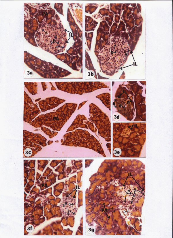
| Figure 3: Photomicrographs of sections of pancreas of normal (Figures 3a and 3b), diabetic control (Figures 3c, 3d and 3e) and diabetic treated (Figures 3f and 3g) male rats. Normal rats showed intact islets of Langerhans (IL) with alpha cells (a) at the periphery, beta cells (b) in the core and delta cells (d) adjacent to beta cells with enlarged size. Diabetic rats showed absence of islets at almost all area of pancreas parenchyma (PA) (Figure 3c) or presence of little number of small-sized islets (Figures 3d and 3e) with necrosis (n). Diabetic rats treated with 4b exhibited marked increase in the number and size of islets with relatively increased number of islet cells (a, b and d). Pancreatic ductule (bd) is also visible. |