![]() |
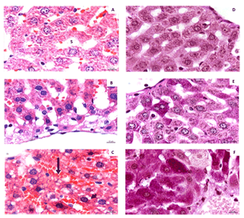
| Figure 2: Histological sections of male Wistar rat livers after treatment with Oncidium flexuosum Sims. crude extract. A, B, C) Sections stained with hematoxylin-eosin and D, E, F sections submitted to periodic acid Schiff. A, D) Control group; B, E) group G250; C,F) group G500. Note in B and C, hepatocyte hypertrophy and cytoplasmic vacuolization, and in C, hyperemia (arrow) and nuclear pyknosis. (s) sinusoids. |