|  | 
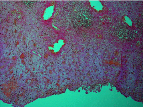
| Figure 6: Chronic erosive cystitis. Wide erosion of bladder epithelium (bottom). Lamina propria shows neoangiogenesis (granulation tissue), edema and early collagenic fibrosis. Focal mononuclear inflammatory infiltration, formation of lymphoid follicles, and more mature fibrosis (top). van Gieson, x120. |