![]() |
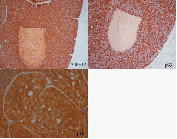
| Figure 4: Immunohistochemical stain revealed strong reaction for 34ßE12 (original magnification 40x), strongly nuclear stain for p63, delineate perfectly the peripheral palisading (original magnification 40x) and p16 in a neural-type rosettes area (original magnification 40x). |